Imunoterapia combinată a redus o varietate de cancere metastatice solide
©
Autor: Airinei Camelia

Despre terapia TIL și noua strategie testată
Terapia cu limfocite infiltrante în tumoră (TILs) presupune izolarea limfocitelor direct din tumora pacientului, selectarea celor care recunosc neoantigenele tumorale (mutanți specifici tumorii) și multiplicarea lor ex vivo pentru a fi ulterior reintroduse în organism. Studiul a testat o variantă îmbunătățită de TIL, în care celulele erau selectate activ pentru recunoașterea neoantigenelor (SEL-TIL), urmată de administrarea unui inhibitor de punct de control imun – pembrolizumab (Keytruda) – menit să împiedice inactivarea acestor celule de către sistemul imun al pacientului (SEL-TIL + P).Designul studiului și etapele testării
Studiul a inclus 91 de pacienți cu forme avansate de cancer gastrointestinal (esofag, stomac, colon, rect, pancreas și căi biliare), care trecuseră printr-o medie de patru linii de tratament anterior. Studiul a fost împărțit în trei faze consecutive:- Faza 1 (pilot): 18 pacienți au primit TIL-uri neselectate – niciun răspuns obiectiv observat.
- Faza 2: 39 de pacienți au primit TIL-uri selectate (SEL-TIL) – răspuns obiectiv la 3 pacienți (7,7%).
- Faza 3: 34 de pacienți au primit combinația SEL-TIL + pembrolizumab – răspunsuri obiective la 8 pacienți (23,5%).
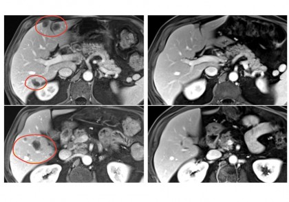
Răspunsul obiectiv a fost definit ca reducerea cu cel puțin 30% a dimensiunii tumorii, conform criteriilor RECIST 1.0.
Rezultate clinice
- SEL-TIL + pembrolizumab a condus la cele mai bune rezultate, cu un răspuns obiectiv la aproape un sfert dintre pacienți.
- Durata răspunsului în grupul SEL-TIL a variat între 8 luni și peste 5,8 ani, iar în grupul SEL-TIL + P între 4 luni și 3,5 ani.
- Răspunsuri au fost observate în cancere greu de tratat, inclusiv de colon, rect, pancreas și căi biliare.
- Toți pacienții au primit în prealabil chimioterapie limfodepletivă și interleukină-2 în doză mare, pentru a facilita integrarea celulelor TIL transferate.
Toxicitate și siguranță
- Efecte adverse severe au fost raportate la 30% dintre pacienții tratați cu SEL-TIL (± pembrolizumab), în principal hematologice și legate de regimul intensiv de precondiționare.
- 10% dintre pacienți au necesitat îngrijiri critice, dar toxicitatea a fost tranzitorie și gestionabilă.
Analize exploratorii și mecanisme de răspuns
Datele suplimentare au evidențiat faptul că răspunsurile clinice au fost asociate cu un număr crescut de neoantigene recunoscute de TIL-urile administrate, în special cele reactive CD4+. Acest aspect sugerează că profilarea extinsă a neoantigenelor din tumori și selectarea precisă a TIL-urilor ar putea crește semnificativ eficiența terapiei.Implicații pentru viitor
Aceste rezultate sunt remarcabile într-un context în care majoritatea pacienților cu cancere gastrointestinale metastatice nu răspund la imunoterapiile standard, cum ar fi inhibitorii de puncte de control imun, în lipsa instabilității microsatelitare sau a încărcăturii mari de mutații.Succesul parțial al strategiei SEL-TIL + pembrolizumab indică faptul că terapia celulară personalizată poate deveni viabilă chiar și pentru tumorile solide comune, o categorie considerată până recent refractară la imunoterapie. Următoarele direcții de cercetare vizează optimizarea selecției TIL-urilor și integrarea noilor biomarkeri pentru a anticipa mai bine cine va răspunde la tratament.
Concluzii
Studiul condus de NIH reprezintă o piatră de hotar în domeniul imunoterapiei personalizate pentru cancerele solide. Pentru prima dată, s-a demonstrat în mod convingător că terapia cu limfocite infiltrante în tumoră, selectate pentru recunoașterea neoantigenelor și combinate cu pembrolizumab, poate reduce semnificativ volumul tumoral la un subset relevant de pacienți cu cancere gastrointestinale avansate. Această abordare are potențialul de a extinde arsenalul terapeutic al imunoterapiei către un număr mult mai mare de pacienți, redefinind posibilitățile terapeutice în oncologie.
Data actualizare: 03-04-2025 | creare: 03-04-2025 | Vizite: 228
Bibliografie
Frank J. Lowery, Stephanie L. Goff, Billel Gasmi, Maria R. Parkhurst, Nivedita M. Ratnam, Hyunmi K. Halas, Thomas E. Shelton, Michelle M. Langhan, Aarushi Bhasin, Aaron J. Dinerman, Victoria Dulemba, Ian S. Goldlust, Alexandra M. Gustafson, Abraham A. Hakim, Kyle J. Hitscherich, Lisa M. Kenney, Lior Levy, Juliette G. Rault-Wang, Alakesh Bera, Satyajit Ray, Courtney D. Seavey, Chuong D. Hoang, Jonathan M. Hernandez, Jared J. Gartner, Sivasish Sindiri, Todd D. Prickett, Lori S. McIntyre, Sri Krishna, Paul F. Robbins, Nicholas D. Klemen, Mei Li M. Kwong, James C. Yang, Steven A. Rosenberg. Neoantigen-specific tumor-infiltrating lymphocytes in gastrointestinal cancers: a phase 2 trial. Nature Medicine, 2025; DOI: 10.1038/s41591-025-03627-5Foto: Center for Cancer Research/National Cancer Institute
©
Copyright ROmedic: Articolul se află sub protecția drepturilor de autor. Reproducerea, chiar și parțială, este interzisă!
Alte articole din aceeași secțiune:
- Anticorpi rigidizați pentru imunoterapie: o nouă strategie promițătoare în lupta împotriva cancerului
- Obezitatea și sindromul metabolic influențează subtipurile de cancer de sân și mortalitatea
- Cercetătorii îmbunătățesc căutarea genelor care conduc la apariția cancerului
- Descoperii despre drojdie oferă noi perspective asupra supraviețuirii cancerului
Din Biblioteca medicală vă mai recomandăm:
Din Ghidul de sănătate v-ar putea interesa și:
Forumul ROmedic - întrebări și răspunsuri medicale:
Pe forum găsiți peste 500.000 de întrebări și răspunsuri despre boli sau alte subiecte medicale. Aveți o întrebare? Primiți răspunsuri gratuite de la medici.- Cancer prostata- metastaze coloana vertebrala
- Carcinomatoza peritoneala - recomandari
- Metastaza carcinomatoasa (carcinom cu celule clare)
- Metastaza peritoneala osoasa
- Melanom malign cu metastaze limfatice
- Cancer de rect metastazat
- Metastaza generalizata, cancer osos
- Metastaze in adenocarcinom seros ovarian.
- Metastaze multiple la rinichi si plamani